神经系统速记口诀及超全图谱
2024年10月14日 来源:来学网神经系统相关知识点常用速记口诀以及神经系统超全图谱,赶紧收藏学习了!
速记口诀
1、十二对脑神经
一嗅二视三动眼,
四滑五叉六外展,
七面八听九舌咽,
迷走及副舌下全。
依次数字对应为嗅神经、视神经、动眼神经、滑车神经、三叉神经、展神经、面神经、听神经、舌咽神经、迷走神经、副神经和舌下神经。
2、周围神经的分类
感觉神经128,
动346副舌下,
5、7、9、10为混杂。
3、颅神经核团在脑内的分布
嗅入端脑视入间,
动眼滑车出中脑,
五六七八过脑桥,
9、10、11、12延髓穿。
4、脑干连脑神经歌诀
中脑连三四,前脑五至八;
九至十二对,要在延髓查。
5、十二对脑神经中的“特别小组”
组员1:嗅神经,嗅觉传导通路是不在丘脑换神经元,而将神经冲动直接传到皮质的感觉通路。
组员2:滑车神经,最细的脑神经。
组员3:三叉神经,三叉神经的脊束核是最长的脑神经核。
组员4:迷走神经,行程最长、分布范围最广的脑神经。
6、椎体和脊髓的发生学的关系
331,等生成。
注解:人在胚胎三个月时,脊柱和脊髓是相等的;在出生时脊髓的末端平对第三腰椎椎体下缘,成人时,平对第一腰椎椎体下缘。
7、四叠体计息状体歌诀
上视、下听、外视、内听;
视听反射,务必记清。
上丘的深面是皮质下视中枢,
下丘的深面是皮质下听中枢,
上视下听,眼睛在耳朵的上面呗!
8、正中神经歌诀
正中神经属臂丛,掌长肌腱外侧行;
此处浅表有损伤,鱼际萎缩“猿爪”样。
9、手部感觉神经分布歌诀
手掌正中三指半,剩下尺侧一指半,
尺神经占据一个半,正中桡神三指半。
注解:手部神经分布
(1)手掌:正中神经支配拇指、示指、中指及无名指的一半区域,剩下的一指半由尺神经支配;
(2)手背:正中神经支配背侧拇指、示指、中指及无名指远端指关节皮肤感觉,尺神经支配手掌尺侧小指及尺侧无名指的一半皮肤感觉,桡神经支配拇指拇指、示指、中指、无名指的一半区域近端指关节及相应手背的皮肤感觉。
10、胸神经前支分布口诀
二平胸骨四乳头,六对大约到剑突;
八对斜行肋弓下,十对肚脐轮水平处;
十二内下走得远,分布两侧腹股沟。
注解:
第2胸神经前支(T2)分布于胸骨角平面,
第4胸神经前支(T4)分布于乳头平面,
第6胸神经前支(T6)分布于剑突平面,
第8胸神经前支(T8)分布肋弓平面,
第10胸神经前支(T10)分布于脐平面,
第12胸神经前支(T12)则分布于耻骨联合与脐连线中点平面。
11、几种反射
反射12345678像数数字一样简单
踝反射:S12
膝反射:L34
肱二头肌反射:C56
桡骨膜反射:C78
注解:S:骶髓;L:腰髓;C颈髓。
12、舌的感觉神经支配
舌根苦、舌尖甜、舌背两侧尝酸咸;
尖体面、根舌咽、三叉舌咽管一般。
注解:
舌根司苦;舌尖司甜;舌背两侧司酸、咸;把舌头等分成“尖、体、根”三份,那么每份就是1/3。前2/3的特殊感觉(味觉)由面神经支配,后1/3的味觉由舌咽神经支配,前2/3的一般感觉由三叉神经支配,后1/3的一般感觉由舌咽神经支配。
13、海绵窦外侧的神经
海绵窦外侧的神经由上而下依次为:动眼神经,滑车神经,眼神经,上颌神经。简称“ 动滑眼上”。
超全图谱
1.脑干
2.脑室系统
3.大脑供血动脉3D扫描CT成像
4.形象记忆交感神经与副交感神经系统
5.12对颅神经各自对应的脑区
6.几种常见致死性脑病的CT表现
7.脑损伤
8.不同部位脑病的瞳孔变化
9.常见的作用于中枢神经系统的药品
10.
11.动眼神经、滑车神经和外展神经损伤的鉴别
12.感觉神经的节段性分布
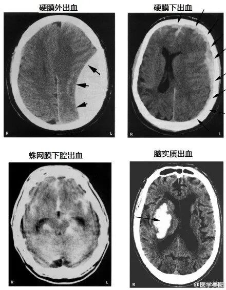
13.各种颅内出血
14.急性颅内高压所致脑疝的分型
15.几种类型脑出血的CT表现
16.脊神经
17.腰穿的局部解剖
18.颅顶层次
19.面神经—— 一巴掌就能记住
20.脑脊液循环
21.三种手部神经损伤的特征性表现
22.手的神经支配
23.头痛困扰,你属于哪一种
24.腰椎神经对应的体表感觉区域
25.腕管综合征(上)与肘管综合征(下)的麻木、疼痛区域
26.左右脑损伤特点比较
