关注来学网公众号

案例分析题 看题模式
5 / 39
5.
女性,54岁。发热、头痛、呕吐20天,左侧肢体无力6天,发病前有皮肤感染史,实验室检查:周围血象白细胞总数7×10^9/L,中性粒细胞0.76,核左移。
(1). 在选用抗生素时,下列哪类是不适当的
A. 庆大霉素
B. 灭滴灵
C. 青霉素
D. 氯霉素
E. 头孢菌素(第三代)
(2). 在定性诊断时最可能的诊断是
A. 脑脓肿
B. 恶性胶质瘤
C. 脑包囊虫病
D. 脑结核瘤
E. 转移瘤
(3). 最合适的治疗措施是
A. 开颅探查行局部病灶切除术
B. 采用抗生素治疗
C. 脱水、激素、抗肿瘤药物治疗
D. 使用抗寄生虫药
E. 钻孔穿刺术
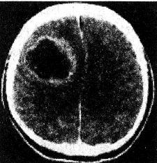
(4). 颅脑CT见图,下列神经系统检查中,哪项对诊断颅内压增高有价值
A. 颈部有抵抗感
B. 左侧肢体肌力Ⅲ级
C. 左侧鼻唇沟变浅
D. 双眼底视盘水肿
E. 左下肢Babinski征阳性
您所在的题目:
案例分析题单选题多选题
正确
错误
未做
交卷